Assistência Odontológica - Gengivite e Periodontite
Índice de Artigos
Gengivite e Periodontite: o que são e como evitar?
A saúde da boca vai muito além de ter dentes brancos e alinhados. Cuidar das gengivas é fundamental para manter um sorriso bonito e, mais importante, saudável. Dois problemas muito comuns, especialmente entre os jovens e adultos, são a gengivite e a periodontite.
O que é a Gengivite?

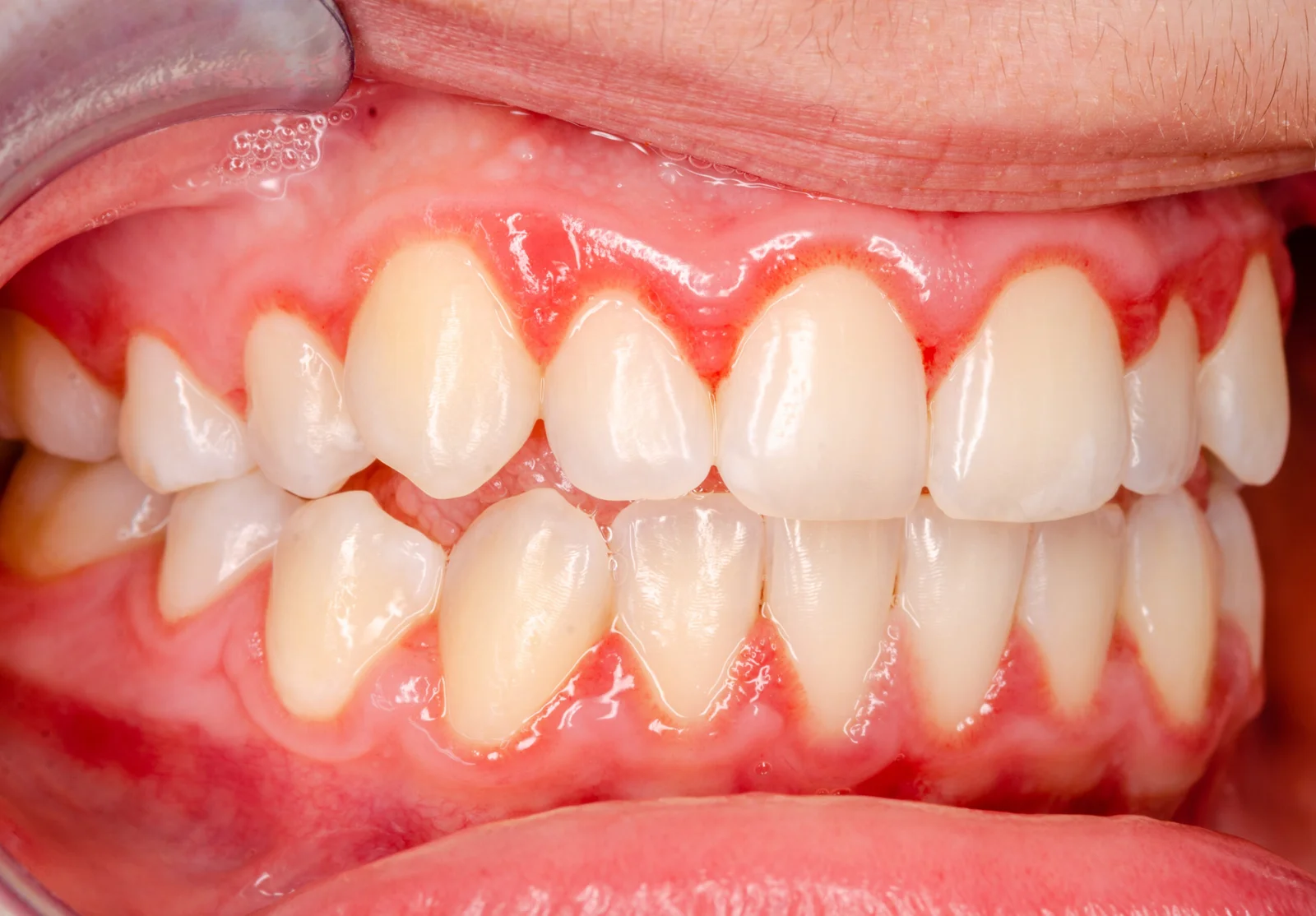
A gengivite é uma inflamação das gengivas provocada principalmente pelo acúmulo de placa bacteriana — uma película pegajosa repleta de microrganismos que se forma continuamente sobre os dentes quando a higiene bucal é inadequada. Sem a devida remoção, essa placa pode se endurecer, formando o tártaro, que agride e irrita os tecidos gengivais.
Sintomas da Gengivite:
- Gengivas vermelhas e inchadas;
- Sangramento ao escovar os dentes ou usar fio dentário;
- Mau hálito persistente;
- Gengivas sensíveis ao toque.
- Boa notícia: a gengivite é reversível com cuidados adequados de higiene oral e visitas regulares ao dentista.
O que é a Periodontite?
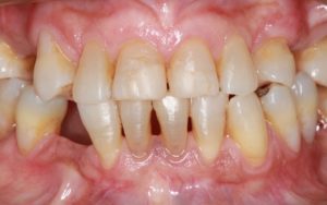
A periodontite é uma evolução mais grave da gengivite. Se a inflamação não for tratada a tempo, as bactérias podem atingir os tecidos mais profundos que sustentam os dentes, como o osso e o ligamento periodontal (tecido muito fino, parecido com fibras elásticas, que fica entre o dente e o osso da boca).
Sintomas da Periodontite:
Todos os sintomas da gengivite;
- Retração gengival (as gengivas “descem” e os dentes parecem mais longos);
- Formação de bolsas periodontais entre o dente e a gengiva (quando a gengiva se afasta da base do dente, deixando parte da raiz exposta);
- Dentes “amolecidos” ou a abanar;
- Perda dentária em casos avançados.
A periodontite é irreversível, mas pode ser controlada com tratamento especializado para evitar a progressão.
Causas e Fatores de Risco:
- Má higiene oral (escovagem e uso irregular do fio dentário);
- Tabagismo;
- Stress (que reduz a imunidade);
- Má alimentação;
- Genética (histórico familiar);
- Doenças como diabetes;
- Alterações hormonais (ex. gravidez, adolescência).
Como Prevenir?
- Escovar os dentes com creme dental com flúor após as refeições;
- Utilizar o fio dental diariamente para remover resíduos de alimentos e placa entre os dentes;
- Ir ao dentista a cada seis meses, mesmo na ausência de dor ou sintomas;
- Evitar fumar — o tabaco agrava a inflamação e dificulta a cicatrização;
- Manter uma alimentação equilibrada rica em vitaminas C e D.
Tratamento
- Para Gengivite:
- Melhorar a higiene oral em casa;
-Limpeza profissional no dentista.
Para Periodontite:
- Raspagem e alisamento radicular: procedimento profissional de limpeza profunda para remover tártaro e bactérias das bolsas gengivais;
- Uso de antibióticos: prescritos pelo cirurgião-dentista, quando necessário, para controlar a infecção;
- Cirurgias periodontais: indicadas e realizadas por periodontistas em casos mais avançados da doença;
- Acompanhamento contínuo: monitoramento regular feito pelo profissional especializado para evitar a progressão da doença e manter a saúde periodontal.
Conclusão
A gengivite e a periodontite são problemas sérios, mas totalmente evitáveis com bons hábitos de higiene bucal desde cedo. Quanto antes você começar a cuidar da sua saúde bucal, maiores serão as chances de manter seus dentes naturais ao longo da vida.
No Ifes Campus Santa Teresa, os estudantes contam com o atendimento odontológico, que está à disposição para orientações, avaliações e acompanhamento clínico. Aproveite essa oportunidade e não deixe para depois — agendar consultas regulares é fundamental para prevenir problemas e garantir gengivas saudáveis, que são essenciais para a sua saúde geral!

Redes Sociais