Assistência Odontológica - Candidíase Oral
Índice de Artigos
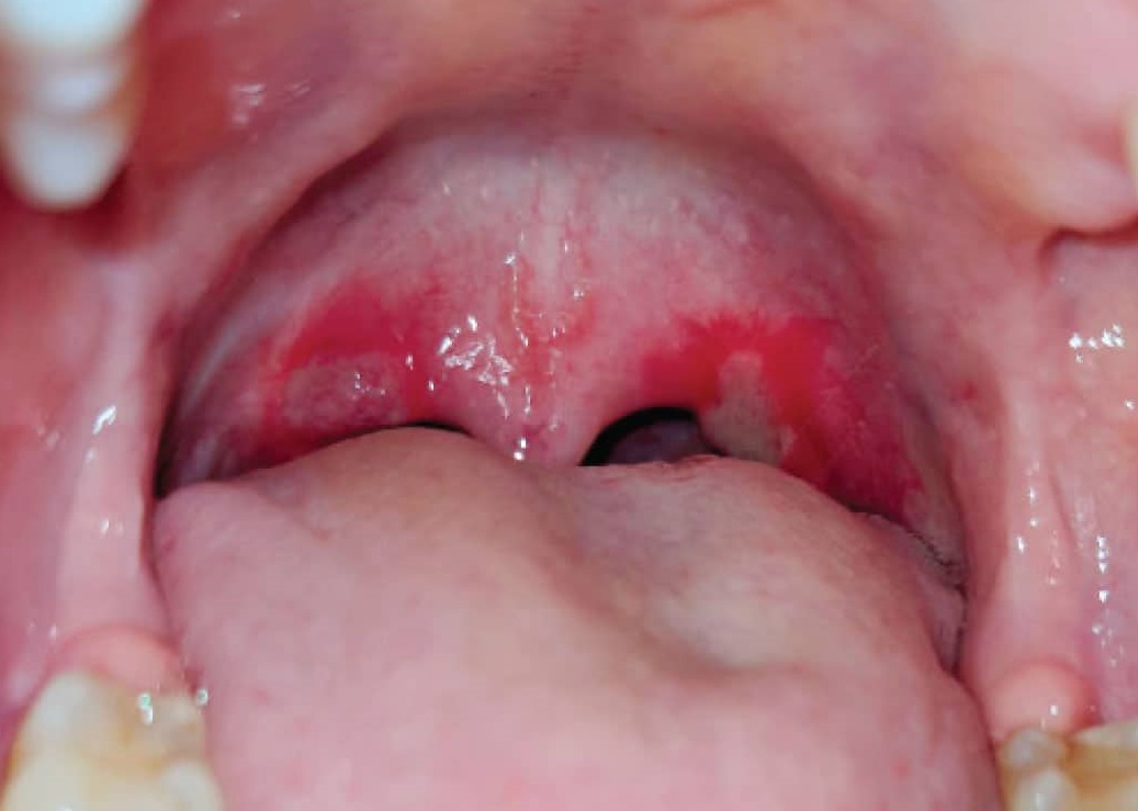
CANDIDÍASE ORAL: UMA INFECÇÃO COMUM, MAS QUE EXIGE ATENÇÃO

A candidíase oral, popularmente conhecida como sapinho, é uma infeção fúngica da mucosa da boca causada principalmente pelo fungo Candida albicans, embora outras espécies também possam estar envolvidas. Este fungo é um organismo comensal, ou seja, vive naturalmente na cavidade oral de muitos indivíduos saudáveis sem causar qualquer sintoma. No entanto, sob certas condições, pode tornar-se patogênico, provocando uma infeção visível.
Fatores predisponentes
Os fatores que favorecem o aparecimento da candidíase oral são variados. Entre os principais estão a imunossupressão (como ocorre em pessoas com VIH/SIDA - “AIDS”, em tratamento com quimioterapia ou transplantadas), a utilização prolongada de antibióticos ou corticosteroides, a xerostomia (boca seca), o uso de próteses dentárias mal ajustadas ou pouco higienizadas, a diabetes mellitus mal controlada, o tabagismo, a idade extrema (bebês e idosos) e o uso de inaladores para asma. Estes fatores alteram o equilíbrio da microbiota oral, permitindo o crescimento excessivo da Candida.
Apresentação clínica
Clinicamente, a candidíase oral pode apresentar-se sob várias formas. A mais frequente se caracteriza por placas esbranquiçadas de aspeto cremoso que se destacam facilmente da mucosa, deixando uma superfície avermelhada e, por vezes, dolorosa. Outras variantes incluem a forma caracterizada por mucosa avermelhada e inflamada, frequentemente na língua ou no palato (céu da boca), e ainda a forma que envolve lesões brancas aderentes de difícil remoção. Em pessoas com próteses, é comum o aparecimento de uma inflamação localizada sob a dentadura, denominada estomatite protética.
Sintomas
Os sintomas podem ser leves ou inexistentes, mas em casos mais avançados incluem ardor, sensação de boca seca, dificuldade em engolir e alterações do paladar.
Diagnóstico
O diagnóstico é geralmente clínico, baseado na observação das lesões características e na história médica do paciente. Em casos duvidosos ou persistentes, pode ser necessário realizar exames complementares.
Tratamento
O tratamento da candidíase oral depende da gravidade da infeção e da condição clínica do paciente. Em casos leves, o uso de antifúngicos tópicos geralmente é suficiente. Quando a infeção é extensa ou o paciente apresenta fatores de risco sistêmicos, pode ser necessário recorrer a antifúngicos orais. A eliminação ou controle dos fatores predisponentes é essencial para evitar recidivas. Em portadores de próteses, é fundamental garantir a higienização adequada e a desinfeção regular das mesmas, além de incentivar o seu uso apenas durante o dia.
Prevenção
Prevenção e cuidados gerais passam pelo controle rigoroso de doenças subjacentes como a diabetes, manutenção de boa higiene oral, cessação tabágica e uso correto de medicamentos inalados. Algumas evidências sugerem que o uso de probióticos pode ter um papel complementar na redução do número de colônias de Candida, embora estes ainda não substituam o tratamento antifúngico convencional. Além disso, alguns remédios naturais (como o bicarbonato de sódio e iogurtes com culturas vivas) podem ajudar a aliviar sintomas ligeiros ou a prevenir novas infeções, mas nunca devem substituir a terapêutica médica.
Mitos
Muitos mitos ainda persistem em torno da candidíase oral. Um dos mais comuns é acreditar que se trata de uma infeção contagiosa, o que não é verdade no contexto da transmissão casual, uma vez que a Candida já está presente na boca da maioria das pessoas. Outro mito frequente é a ideia de que apenas pessoas com má higiene desenvolvem a infecção (quando, na realidade, muitos casos ocorrem por causas alheias à higiene, como alterações imunológicas ou uso de determinados medicamentos). Também se acredita erradamente que basta cortar o açúcar da alimentação para curar a candidíase oral. Embora reduzir o consumo de açúcar possa ajudar a controlar a proliferação do fungo, isso não é, por si só, um tratamento eficaz. Ainda há quem pense que próteses causam obrigatoriamente candidíase, quando na verdade o uso adequado e a manutenção correta reduzem bastante o risco.
Prognóstico
O prognóstico da candidíase oral é geralmente bom, especialmente quando tratada de forma adequada e precoce. No entanto, se negligenciada, pode evoluir para formas mais severas, como candidíase esofágica ou invasiva, sobretudo em pacientes imunocomprometidos. Assim, é essencial estar atento aos sinais, procurar apoio odontológico quando necessário e adotar hábitos que favoreçam o equilíbrio da flora oral. Nesse sentido, o consultório odontológico do Ifes Campus Santa Teresa está disponível para acolher e orientar todos os estudantes que apresentem sintomas semelhantes aos descritos ou que queiram saber mais sobre o tema.
Redes Sociais