Assistência Odontológica - Tratamento ortodôntico
Índice de Artigos
Tratamento ortodôntico: o que é, quando iniciar e como buscar orientação no Ifes Campus Santa Teresa
O tratamento ortodôntico é uma especialidade da odontologia que tem como objetivo a correção do posicionamento dos dentes e dos ossos maxilares, promovendo não apenas benefícios estéticos, mas também funcionais, como a melhora na mastigação, na fala, na respiração e na saúde bucal como um todo. Problemas ortodônticos como má oclusão (classes I, II e III), apinhamento dentário, mordida cruzada, mordida aberta, mordida profunda e outros desalinhamentos podem comprometer a qualidade de vida, além de favorecer o acúmulo de placa bacteriana, aumentando o risco de cáries e doenças gengivais.
Entendendo alguns tipos de má oclusões:
Antes de mais nada, é importante entender que 'má oclusão' é o termo utilizado para definir o encaixe inadequado entre os dentes superiores e inferiores. Existem diferentes tipos, sendo os principais descritos a seguir.
Má oclusão:
-
Classe I: os ossos maxilares estão bem posicionados, mas há desalinhamento ou apinhamento dos dentes;
-
Classe II: a arcada superior está mais avançada em relação à inferior, causando a aparência de "dentes para frente";
-
Classe III: a arcada inferior está mais projetada que a superior, o que pode dar ao perfil uma aparência mais "prognata" (queixo mais proeminente).

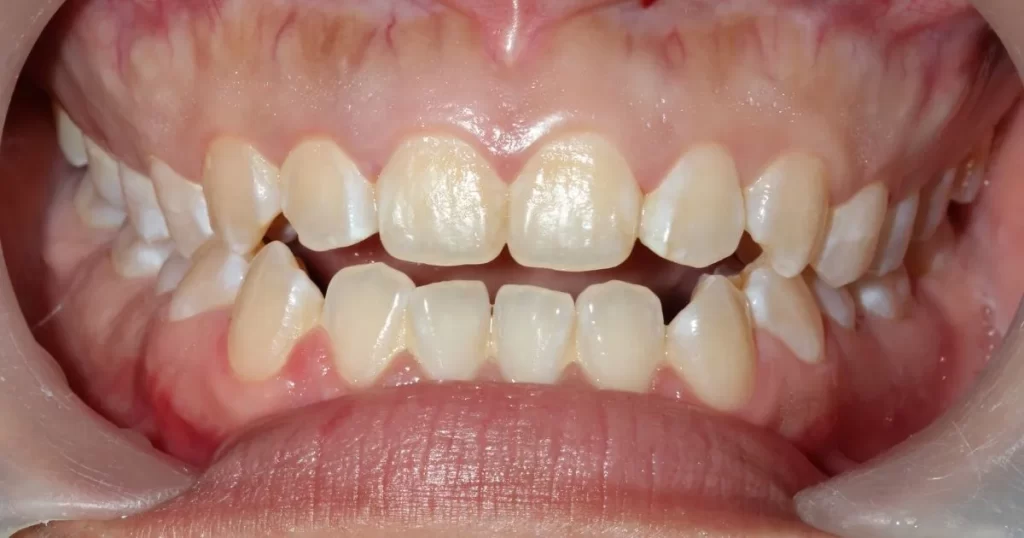
Apinhamento dentário:
É o termo usado para descrever a falta de espaço na arcada dentária, o que faz com que os dentes irrompam ou se posicionem de forma desalinhada, sobrepostos ou tortos. Essa condição pode dificultar a higienização adequada, aumentar o risco de cáries e gengivite, além de comprometer a estética do sorriso e a função mastigatória. O apinhamento pode ocorrer tanto na arcada superior quanto na inferior, e sua gravidade varia de leve a severa, sendo um dos principais motivos para o uso de aparelho ortodôntico.

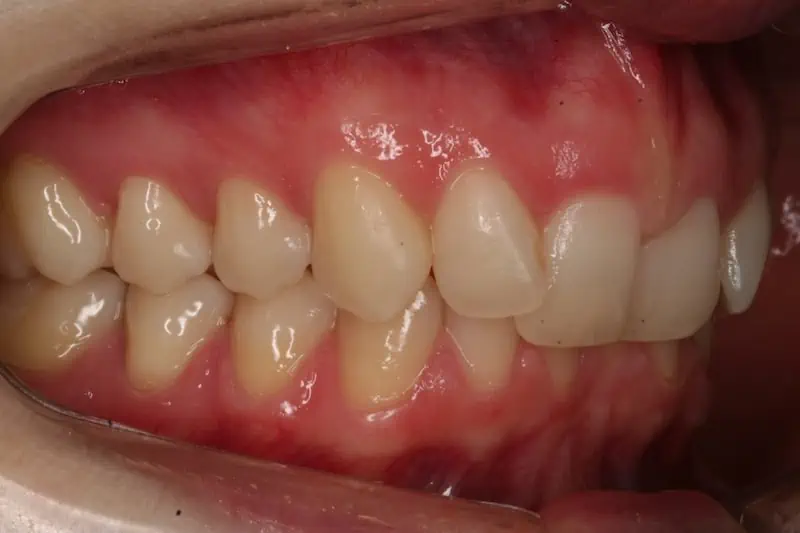
Mordida cruzada
É uma alteração no encaixe dos dentes em que, ao fechar a boca, um ou mais dentes da arcada inferior se posicionam à frente dos dentes da arcada superior — o oposto do que seria considerado normal. Ela pode ocorrer na parte anterior (frontal) ou posterior (lateral) da boca, e pode afetar um lado ou ambos. A mordida cruzada pode causar desgastes dentários, dificuldades na mastigação, sobrecarga muscular e, com o tempo, até assimetrias faciais. O tratamento precoce é importante para evitar complicações no desenvolvimento ósseo e funcional.

Mordida aberta
É uma condição em que, ao fechar a boca, os dentes superiores e inferiores não se tocam em determinada região — geralmente na parte da frente (região anterior). Isso cria um espaço visível entre eles, mesmo com a boca fechada. Pode ser causada por fatores como uso prolongado de chupeta, sucção digital, respiração bucal ou alterações no crescimento ósseo. A mordida aberta pode comprometer a mastigação, a fala e a estética, e em muitos casos requer tratamento ortodôntico ou até intervenção fonoaudiológica associada.

Mordida profunda (ou sobremordida aumentada)
É uma condição em que os dentes anteriores superiores cobrem excessivamente os dentes anteriores inferiores ao fechar a boca. Em casos mais severos, os dentes de cima podem até tocar a gengiva inferior, causando desconforto ou lesões. Essa má oclusão pode estar relacionada a alterações no crescimento ósseo ou na posição dentária e pode levar a problemas como desgaste dos dentes, dores na articulação temporomandibular (ATM) e dificuldade na mastigação. O tratamento ortodôntico é indicado para corrigir o excesso de sobreposição e restabelecer o equilíbrio funcional e estético do sorriso.

A importância da avaliação precoce e da ortodontia interceptativa
O diagnóstico precoce de alterações no crescimento e desenvolvimento das estruturas orofaciais pode evitar complicações futuras mais severas. A ortodontia interceptativa, indicada principalmente durante a dentição mista (fase em que coexistem dentes decíduos e permanentes), tem como objetivo agir preventivamente, corrigindo ou minimizando problemas em formação. Essa abordagem pode reduzir ou até eliminar a necessidade de intervenções mais complexas no futuro, como extrações dentárias ou cirurgias ortognáticas.
Embora a maioria dos tratamentos ortodônticos com aparelhos fixos ou removíveis seja realizada na adolescência ou início da vida adulta — faixa etária que coincide com a maioria dos estudantes do nosso campus (15 a 25 anos), é fundamental que os sinais de má oclusão sejam identificados o quanto antes, permitindo um encaminhamento adequado.
Diagnóstico no campus e possibilidade de encaminhamento
É importante esclarecer que o ambulatório odontológico do Ifes Campus Santa Teresa não oferece tratamento ortodôntico. No entanto, realizamos avaliações clínicas que possibilitam identificar a necessidade desse tipo de tratamento. Caso haja indicação, o estudante poderá ser orientado sobre os próximos passos, inclusive com encaminhamentos para serviços especializados na rede pública de saúde ou em clínicas particulares, conforme cada situação.
Espaço aberto para esclarecimentos e avaliação
Sabemos que dúvidas sobre o uso de aparelhos ortodônticos são muito comuns. Questões como “Será que preciso usar aparelho?”, “Qual é o melhor momento para começar?”, ou mesmo curiosidades sobre o tempo de tratamento, cuidados e tipos de aparelhos disponíveis são frequentes — e o espaço da odontologia no ambulatório da nossa escola está aberto para conversar sobre tudo isso.
Se você deseja saber mais sobre o tratamento ortodôntico ou fazer uma avaliação da sua saúde bucal com foco nessa área, basta agendar uma consulta diretamente no setor. O atendimento é gratuito para os estudantes e oferece orientações individualizadas.
Cuidar do sorriso é também cuidar da saúde como um todo. Agende sua consulta e tire suas dúvidas!
Redes Sociais